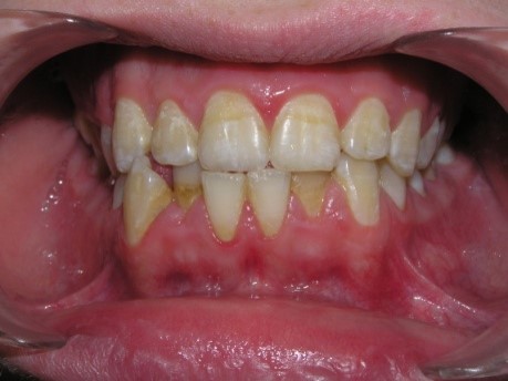
Lingual teeth position
Lingual position of individual teeth
or groups of teeth can occur as an independent anomaly or together with other
anomalies of teeth and dentition. Lateral incisors are especially often in this
position. This is explained by the fact that the follicles of these teeth are
normally located orally from the root of the temporary teeth. Later, under the
influence of jaw growth and tongue pressure, the teeth during eruption move
vestibularly and occupy the correct position in the dental arch. With delayed
growth of the lower jaw, teeth 32 and 42 remain in the lingual position. This
anomaly can also occur with early extraction of temporary teeth, due to
delayed change of temporary teeth, with underdevelopment of the lower jaw apical
base, the presence of supernumerary teeth, mesial displacement of
teeth.



Pic.10. Lingual position of teeth 32 and 42.
The crowding of the lower frontal
teeth reduces the resistance of the teeth to the carious process, creates
conditions for the development of periodontal diseases, and the formation of
periodontal pockets.
Etiology,
pathogenesis:
- heredity;
- harmful habits of the tongue
sucking, pencil, pen and other objects;
- disorder of respiratory and speech
functions, leading to underdevelopment of the jaws;
- mismatch of the teeth and jaw
size;
- crowding of the frontal
teeth;
- insufficient space in the dental
arch for the lower canines;
- delayed physiological change of
temporary teeth;
- trauma of the teeth, alveolar
process, jaws;
- macrodentia (absolute or
individual);
- presence of supernumerary
tooth;
- disorder of the teeth
clenching;
- micrognathia of the
jaw;
- mesial displacement of teeth
surrounding the abnormally located tooth;
- premature extraction of temporary
teeth without preventive measures;
- narrowing and shortening of the
dentition and apical base of varying degrees;
- underdevelopment of the upper jaw
frontal area;
- discrepancy between the width of
the dentition and apical base.
Functional disorders:
-
speech;
- biting
off food;
-
lengthening of food chewing time;
-
disturbance of rhythm of chewing;
-
grinding type of chewing;
-
decrease of indicators of chewing efficiency;
-
disturbance of closing of lips;
-
abrasion of crowns of abnormally located teeth;
-
diseases of periodontal tissues (localized, generalized);
-
disturbance of function of temporomandibular joint.
Aesthetic changes:
-
disturbance of a lip step;
- convex
profile;
-
reduction of the lower third of the face;
-
deepening of a labial-mental fold;
-
non-coincidence of cosmetic center of a face with the center of the upper and
lower dental arches.
Forms of
anomaly:
- with space in the dentition;
- without space in the dentition;
- with concomitant anomalies of the
dentition and bite;
- with compensated deficiency of
space in the dentition;
- with decompensated or complete
deficiency of space in the dentition.
All of the listed forms can be
combined with different depths of overlap in the frontal area of the dental
arches (slight, medium and deep).
Research
methods:
1.
Clinical.
2.
Paraclinical.
X-ray:
-
orthopantomography;
-
computer tomography.
Biometric:
- dental
examination by methods:
Tonn
Bolton
Pont and
H. Linder, G. Hart
Korkhaus
Snagina
Little
Nance
Schwarz
Fuss
Schmuth
Facial
photometry.
Reopardodontography.
Principles of
treatment:
Preparatory period
-
psychotherapeutic preparation;
-
elimination of the risk factor (if possible);
-
elimination of the etiological factor (if possible);
- oral
cavity sanitation;
-
checking the state of oral hygiene, if necessary -
training;
-
prosthetic preparation (according to indications);
-
surgical preparation (according to indications).
Active period of orthodontic treatment in
temporary and mixed occlusion:
-
functional treatment methods (myogymnastics, massage,
etc.);
- use of
a spatula, wooden stick (if there is space);
-
appliances treatment method taking into account the clinical manifestation of
the pathology (creation of space in the dental arch for an abnormally located
tooth: expansion of the dentition, lengthening of the dentition, distalization
of the teeth, etc.);
-
leveling the depth of overlap (disconnection of dental arches) using a cap
fixation, occlusal overlays, an inclined plane;
-
normalization of functions (aesthetic, speech, chewing).
-
surgical treatment methods (serial sequential extraction of teeth by Hotz;
extraction of individual teeth; extraction of supernumerary tooth,
etc.);
-
stripping.
Active
period of orthodontic treatment in permanent
occlusion:
- appliances treatment method taking
into account the clinical manifestation of the pathology (creation of space in
the dental arch for an abnormally located tooth: expansion of the dentition,
lengthening of the dentition, distalization of the teeth,
etc.);
- normalization of functions (aesthetic,
speech, chewing).
- surgical treatment methods (extraction of individual teeth;
supernumerary tooth, compact osteotomy, insert of orthodontic implants,
etc.).
- stripping;
- prosthetic treatment;
- functional treatment methods (myogymnastics,
massage, etc.);
- physiotherapeutic treatment method: vacuum
therapy, low-frequency therapeutic vibration, MRI-magnetic resonance
reflexotherapy, ultraphonophoresis, ultrasound, electrophoresis,
etc.
Retention
period of orthodontic treatment
- preservation of the achieved result and
prevention of relapse with the help of special equipment - retainers (fixed,
removable);
- functional adaptation to the newly created
occlusion;
- extraction of the rudiments of third molars
(if necessary).