Teeth crowding
Crowding
of teeth is an anomaly of the structure of the dentition (shape and size),
characterized by a close arrangement of a group of frontal teeth due to a
decrease in the longitudinal length of the dental arch compared to the sum of
the mesiodistal dimensions of the crowns of the teeth that form
it.

Etiology,
pathogenesis:
-
heredity;
-
harmful habits of biting the cheeks, lips;
-
impaired breathing, speech, closing the lips, which leads to underdevelopment of
the jaws;
-
abnormal attachment of soft tissues to the jaws, namely: the frenulum of the
lower lip, tongue, shallow vestibule of the oral cavity;
-
disorder of the myodynamic balance of the perioral area in case of dysfunctions
of the oral cavity;
- change
in the valve function of the lips (hypertonicity or hypotonicity of the
orbicularis oris muscle);
-
mismatch of the sizes of the teeth and jaw;
-
delayed physiological change of temporary teeth;
- trauma
to teeth, alveolar process, jaws;
-
macrodentia (absolute or individual);
-
presence of supernumerary tooth;
-
disorder of tooth setting;
-
micrognathia of the jaw;
-
eruption of third molars;
-
premature extraction of temporary molars without preventive
measures;
-
narrowing and shortening of the dentition and apical base of varying
degrees;
-
discrepancy between the width of the dentition and apical
base;
-
disorders of calcium-phosphorus metabolism;
-
disorders of the musculoskeletal system;
-
pathological changes in periodontal tissues;
-
vitamin D deficiency.
Functional disorders:
-
breathing;
-
speech;
-
chewing;
-
impaired lip closure;
-
dysfunction of the temporomandibular joint;
-
periodontal tissue diseases (localized, generalized).
Aesthetic changes:
-
half-open mouth;
-
visualization of abnormally positioned teeth when talking and
smiling.
Clinical forms:
- mild
(space deficiency) - up to 5 mm;
-
moderate - up to 5-8 mm;
- heavy – more than 8 mm.



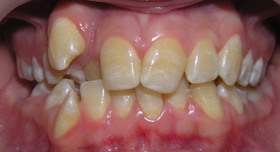
Pic.26. Crowding of the front teeth of the upper and lower jaws.
Degree of severity
- mild
(space deficiency) - up to 5 mm;
-
moderate - up to 5-8 mm;
- heavy
– more than 8 mm.
Research methods:
1.
Clinical.
2.
Paraclinical.
X-ray:
-
orthopantomography;
-
computer tomography.
Biometric:
- dental
examination by methods:
Tonn
Bolton
Pont and
H. Linder, G. Hart
Korkhaus
Snagina
Little
Nance
Schwarz
Fuss
Schmuth
Facial
photometry.
Reopardodontography.
Treatment principles:
Preparatory period
-
psychotherapeutic preparation;
-
elimination of the risk factor (if possible);
-
elimination of the etiological factor (if possible);
- oral
cavity sanitation;
-
checking the state of oral hygiene, if necessary -
training;
-
prosthetic preparation (according to indications);
-
surgical preparation (according to indications).
Active
period of orthodontic treatment in temporary and mixed
occlusion:
- functional treatment methods
(myogymnastics, massage, etc.);
- appliances treatment method taking
into account the clinical manifestation of the pathology (creation of space in
the dental arch for abnormally located teeth: expansion of the dentition,
lengthening of the dentition, distalization of the teeth,
etc.);
- normalization of functions
(aesthetic, speech, breathing, chewing);
- surgical treatment methods (serial
sequential extraction of teeth according to Hotz; extraction of individual
teeth; plastic surgery of the lips, tongue; deepening of the vestibule of the
oral cavity; removal of supernumerary tooth, etc.);
- stripping.
Active
period of orthodontic treatment in permanent
occlusion:
- appliances treatment method taking
into account the clinical manifestation of the pathology (creation of space in
the dental arch for abnormally located teeth: expansion of the dentition,
lengthening of the dentition, distalization of the teeth,
etc.);
- normalization of functions
(aesthetic, speech, breathing, chewing).
- surgical treatment methods
(extraction of individual teeth; supernumerary tooth, compact osteotomy, insert
of orthodontic implants, etc.).
- stripping;
- functional treatment methods
(myogymnastics, massage, etc.);
- physiotherapeutic treatment
method: vacuum therapy, low-frequency therapeutic vibration, MRI-magnetic
resonance reflexotherapy, ultraphonophoresis, ultrasound, electrophoresis,
etc.
Retention
period of orthodontic treatment:
- preservation of the achieved result and
prevention of relapse with the help of special equipment - retainers (fixed,
removable);
- functional adaptation to the newly created
occlusion;
- extraction of the rudiments of third molars
(if necessary).