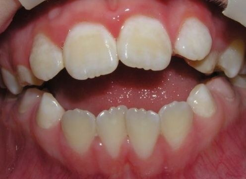
Supraocclusion of teeth
Supraocclusion of teeth (syn.
supraposition, high position of teeth, supraanomaly of teeth) – displacement of
teeth in the vertical direction. On the upper jaw, in the supraocclusion
position, there are teeth that have not reached the occlusal plane (i.e., above
the occlusal plane) – for example, observed with an open bite. On the lower jaw,
supraocclusion corresponds to the position of teeth that have protruded above
the occlusal plane – for example, dentoalveolar elongation in the frontal area
(observed with a deep bite).

Etiology,
pathogenesis:
- heredity;
- harmful habits of biting the
cheeks, lower lip;
- impaired breathing, speech, lip
closure, leading to underdevelopment of the jaws;
- impaired formation of the tooth
root or alveolar process;
- mismatch of the size of the teeth
and jaw;
- delayed physiological change of
temporary teeth;
- trauma of the teeth, alveolar
process, jaws;
- macrodentia (absolute or
individual);
- presence of supernumerary
tooth;
- impaired tooth
eruption;
- micrognathia of the
jaw;
- premature extraction of temporary
molars without preventive measures;
- narrowing and shortening of the
dentition and apical base of varying degrees;
- mismatch of the width of the
dentition and apical base;
- mechanical obstacle to tooth
eruption;
- calcium-phosphorus metabolism
disorders;
- vitamin D deficiency
states.
Functional
disorders:
- breathing;
- speech;
- chewing;
- lip closure
disorders;
- chronic injury of the mucous
membrane of the palate or upper lip;
- dysfunction of the
temporomandibular joint;
- periodontal tissue diseases
(localized, generalized).
Aesthetic
changes:
- half-open
mouth;
- visualization of an abnormally
positioned tooth when talking and smiling;
- deep supramental
furrow;
- everted lower lip with tooth
impressions on the mucous membrane.
Forms of
anomaly:
- with space in the dentition;
- without space in the dentition;
- with concomitant anomalies of the
dentition and bite;
- with compensated deficiency of
space in the dentition;
- with decompensated or complete
deficiency of space in the dentition.
Research
methods:
1.
Clinical.
2.
Paraclinical.
X-ray:
-
orthopantomography;
-
computer tomography.
Biometric:
- dental
examination by methods:
Tonn
Bolton
Pont and
H. Linder, G. Hart
Korkhaus
Snagina
Little
Nance
Schwarz
Fuss
Schmuth
Facial
photometry.
Reopardodontography.
Principles of
treatment:
Preparatory period
-
psychotherapeutic preparation;
-
elimination of the risk factor (if possible);
-
elimination of the etiological factor (if possible);
- oral
cavity sanitation;
-
checking the state of oral hygiene, if necessary -
training;
-
prosthetic preparation (according to indications);
-
surgical preparation (according to indications).
Active period of orthodontic
treatment in
temporary and mixed occlusion:
- functional treatment methods
(myogymnastics, massage, etc.);
- appliances treatment method taking
into account the clinical manifestation of the pathology (creation of space in
the dental arch for an abnormally located tooth: expansion of the dentition,
elongation of the dentition, distalization of the teeth,
etc.);
- normalization of functions
(aesthetic, speech, chewing);
- normalization of the bite height
(if necessary);
- surgical treatment methods (serial
sequential extraction of teeth according to Hotz; extraction of individual
teeth; removal of supernumerary tooth(s), etc.);
- intrusion of the teeth of the
lower jaw (with dentoalveolar elongation);
- stripping.
Active
period of orthodontic treatment in permanent
occlusion:
- appliances treatment method taking
into account the clinical manifestation of the pathology (creation of space in
the dental arch for an abnormally located tooth: expansion of the dentition,
lengthening of the dentition, distalization of the teeth, etc.);
- normalization of functions (aesthetic,
speech, chewing).
- surgical treatment methods (extraction of
individual teeth; supernumerary tooth, compact osteotomy, insert of orthodontic
implants, etc.).
- stripping;
- prosthetic treatment;
- intrusion of the teeth of the lower jaw (with
dentoalveolar elongation);
- functional treatment methods (myogymnastics,
massage, etc.);
- physiotherapeutic treatment method: vacuum
therapy, low-frequency therapeutic vibration, MRI-magnetic resonance
reflexotherapy, ultraphonophoresis, ultrasound, electrophoresis,
etc.
Retention
period of orthodontic treatment:
- preservation of the achieved result and
prevention of relapse with the help of special equipment - retainers (fixed,
removable);
- functional adaptation to the newly created
occlusion;
- extraction of the germs of third molars
(if necessary).