Teeth transposition

       

Transposition of teeth is a rare anomaly, the frequency of which is approximately 0.6% and is characterized by the fact that individual teeth change places. For example, a canine is in the place of a premolar, and a premolar in the place of a canine. Cases of eruption of a canine between premolars, and permanent lateral incisors – distal to the deciduous canines, which occurs as a result of premature loss of deciduous molars, have been described. The upper canines are more often involved in the process of transposition, especially in combination with the first premolars.

Incorrect eruption of a canine, which leads to impaction, is most often due to lack of space. But sometimes the rudiment of a canine erupts in a dystopian position, which is accompanied by transposition, even if there is free space. Most often, there is a unilateral transposition and more often on the left side.

 

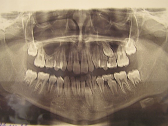
701.jpg 

Pic.24. Transposition of 33 and 32.

 

Etiology, pathogenesis:

- heredity;

- transposition of rudiments in the process of dentinogenesis;

- movement of teeth during eruption;

- ankylosis of milk teeth;

- delay in physiological change of temporary teeth;

- trauma of teeth, alveolar process, jaws;

- disorder of the tooth formation.

 

Functional disorders:

- biting off food.

 

Aesthetic changes:

- visualization of an abnormally located tooth during talking and smiling.

 

Forms of anomaly:

- with space in the dentition;

- without space in the dentition;

- with concomitant anomalies of the dentition and bite; 

- with compensated deficiency of space in the dentition; 

- with decompensated or complete deficiency of space in the dentition. 

 

Research methods:

1. Clinical.

2. Paraclinical.

X-ray:

- orthopantomography;

- computer tomography.

Biometric:

- dental examination by methods:

Tonn

Bolton

Pont and H. Linder, G. Hart

Korkhaus

Snagina

Little

Nance

Schwarz

Fuss

Schmuth

Facial photometry.

Reopardodontography.

 

Principles of treatment:

Preparatory period

- psychotherapeutic preparation;

- oral cavity sanitation;

- checking the state of oral hygiene, if necessary - training;

- prosthetic preparation (according to indications);

- surgical preparation (according to indications);

- if the transposition of the teeth does not cause functional and aesthetic disorders, then orthodontic treatment is not indicated. In other cases, therapy is carried out according to the principle of mesial or distal tooth movement.

 

Active period of orthodontic treatment in temporary and mixed occlusion:

- functional treatment methods (myogymnastics, massage, etc.);

- appliances treatment method taking into account the clinical manifestation of the pathology (creation of space in the dental arch for an abnormally located tooth: distalization or mesialization of the teeth, expansion of the dentition, elongation of the dentition);

- normalization of functions (aesthetic, chewing).

- stripping.

 

Active period of orthodontic treatment in permanent occlusion:

- appliances treatment method taking into account the clinical manifestation of the pathology (creation of space in the dental arch for an abnormally located tooth: distalization or mesialization of the teeth, expansion of the dentition, elongation of the dentition);

- normalization of functions (aesthetic, chewing).

- stripping;

- prosthetic treatment;

- functional treatment methods (myogymnastics, massage, etc.);

- physiotherapeutic treatment method: vacuum therapy, low-frequency therapeutic vibration, MRI-magnetic resonance reflexotherapy, ultraphonophoresis, ultrasound, electrophoresis, etc.

 

Retention period of orthodontic treatment

- preservation of the achieved result and prevention of relapse using special equipment - retainers (fixed, removable);

- functional adaptation to the newly created occlusion;

- extraction of the rudiments of third molars (if necessary).