Mesial teeth position
Mesioocclusion of teeth
(syn.: mesioposition, mesioanomaly, mesial displacement of teeth) – the location
of teeth more mesialy than they are normally located in the dental arch. Mesial
location of teeth
Etiology,
pathogenesis:
- heredity;
- harmful habits of thumb sucking,
tongue, pencil, pen or other objects;
- disorder of functions of
swallowing, speech, breathing, closing of lips;
- discrepancy in the size of teeth
and jaw;
- trauma of teeth, alveolar process,
jaws;
- anomalies of the shape and size of
teeth;
- adentia;
- supernumerary
teeth;
- impaction of
tooth;
- impaired tooth
formation;
- macrognathia of the
jaw;
- premature extraction of temporary
teeth without preventive measures;
- expansion and lengthening of the
dentition and apical base;
- vestibular (oral) position of
individual teeth;
- discrepancy between the width of
the dentition and apical base.
Functional disorders:
-
speech;
-
swallowing;
- lip
closure disorders;
-
periodontal tissue diseases (localized, generalized).
Aesthetic changes:
-
visualization of abnormally positioned teeth when talking and
smiling.
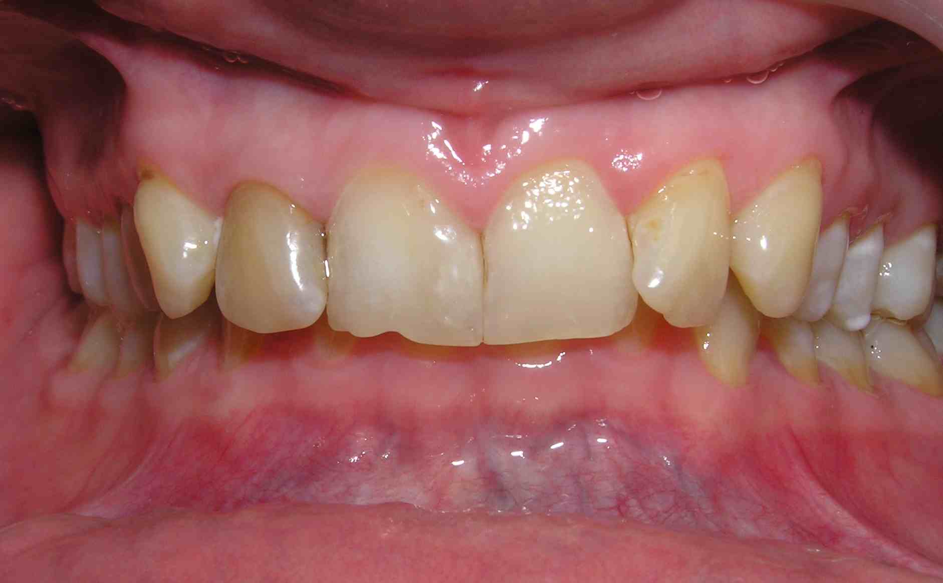
Forms of anomaly:
- with space in the dentition;
-
without space in the dentition;



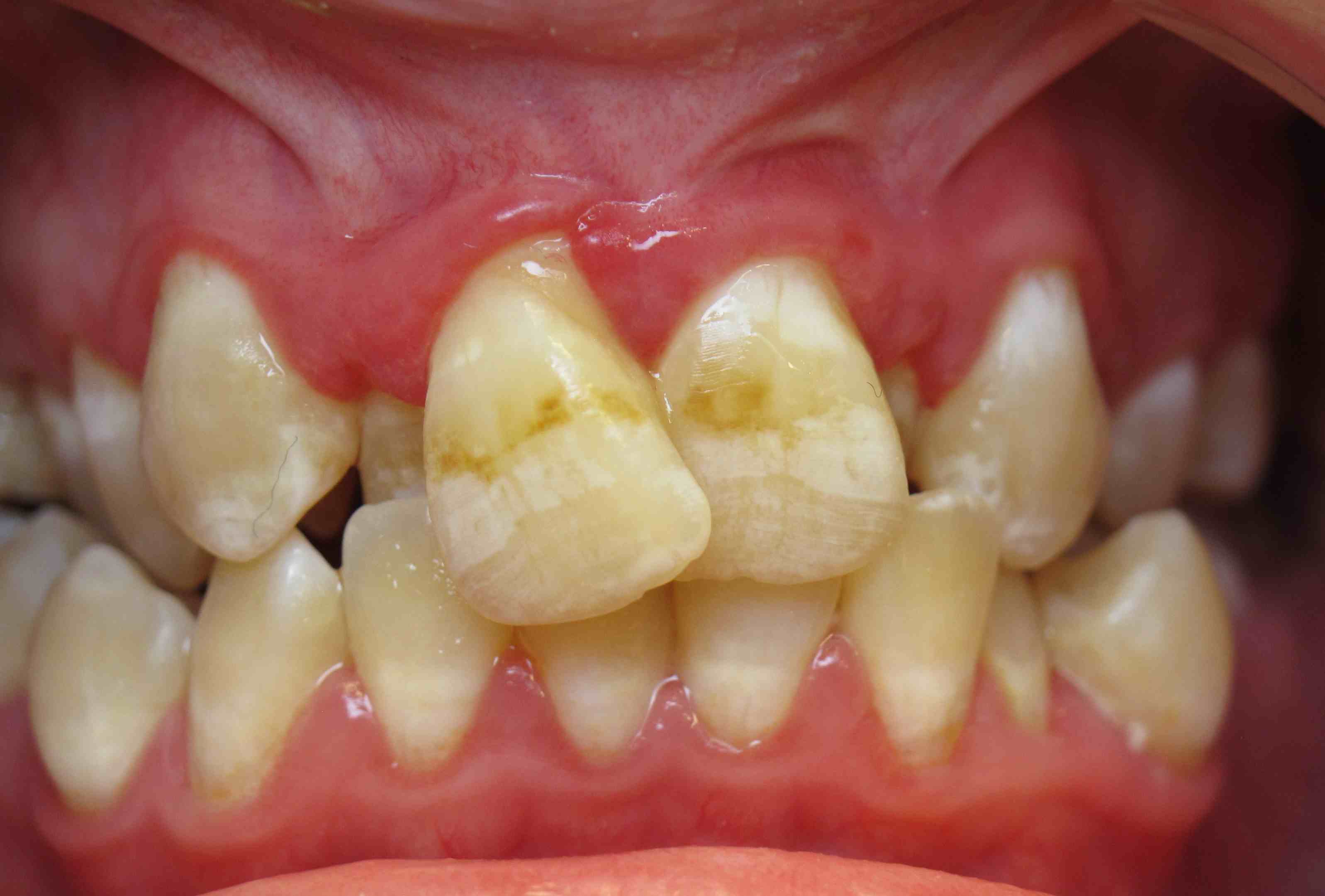
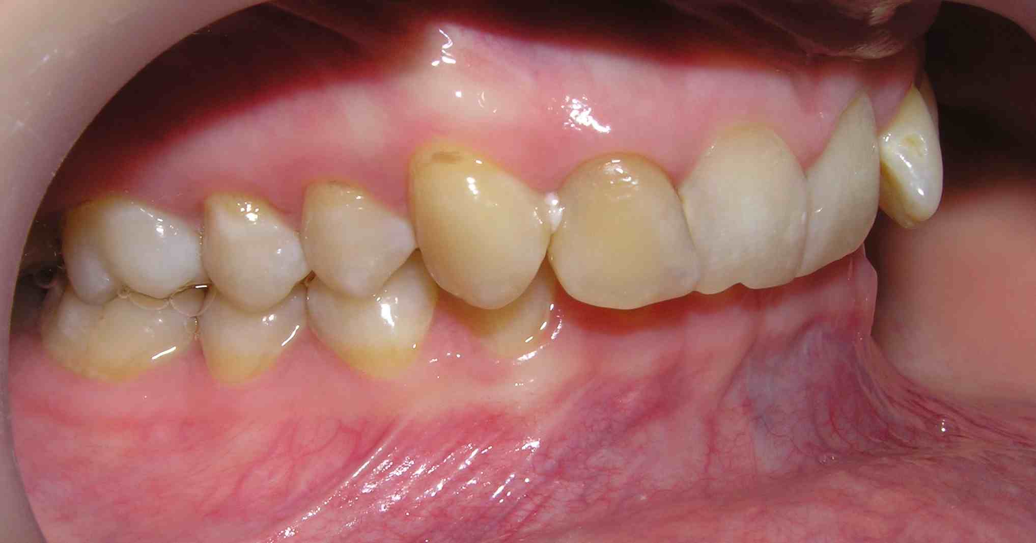
Pic.16. Mesial position of tooth 11 with lack of space in the dental arch.
- with
concomitant anomalies of the dentition and bite.

Research methods:
1.
Clinical.
2.
Paraclinical.
X-ray:
-
orthopantomography;
-
computer tomography.
Biometric:
- dental
examination by methods:
Tonn
Bolton
Pont and
H. Linder, G. Hart
Korkhaus
Snagina
Little
Nance
Schwarz
Fuss
Schmuth
Facial
photometry.
Reopardodontography.
Principles of
treatment:
Preparatory period
-
psychotherapeutic preparation;
-
elimination of the risk factor (if possible);
-
elimination of the etiological factor (if possible);
- oral
cavity sanitation;
-
checking the state of oral hygiene, if necessary -
education;
-
prosthetic preparation (according to indications);
-
surgical preparation (according to indications).
Active
period of orthodontic treatment in temporary and mixed
occlusion:
-
functional methods of treatment (myogymnastics, massage,
etc.);
-
appliances treatment method taking into account the clinical manifestation
of the pathology (distalization of
teeth, creation of space in the dental arch for an abnormally located tooth:
expansion of the dentition, lengthening of the dentition,
etc.);
-
normalization of functions (aesthetic, speech, chewing);
-
surgical methods of treatment (extraction of individual teeth; extraction of
supernumerary tooth, etc.);
-
separation of the bite by using a bite plate, occlusal
overlays;
-
stripping.
Active
period of orthodontic treatment in permanent
occlusion:
- appliances treatment method taking
into account the clinical manifestation of the pathology (distalization of
teeth, creation of space in the dental arch for an abnormally located tooth:
expansion of the dentition, lengthening of the dentition, etc.);
- normalization of functions (aesthetic,
speech, chewing).
- surgical treatment methods (extraction of individual teeth;
supernumerary tooth, compact osteotomy, insert of orthodontic implants,
etc.).
- stripping;
- prosthetic treatment;
- separation of the bite using a bite plate,
occlusal overlays;
- functional treatment methods (myogymnastics,
massage, etc.);
- physiotherapeutic treatment method: vacuum
therapy, low-frequency therapeutic vibration, MRI-magnetic resonance
reflexotherapy, ultraphonophoresis, ultrasound, electrophoresis,
etc.
Retention
period of orthodontic treatment
- preservation of the achieved result and
prevention of relapse using special equipment - retainers (fixed,
removable);
- functional adaptation to the newly created
occlusion;
- extraction of the rudiments of third
molars (if necessary).