Infraocclusion of teeth
Infraocclusion of teeth (syn.
infraposition, infraanomaly of teeth) – displacement of teeth in the vertical
direction. On the upper jaw, these are teeth that have protruded and dropped
below the level of the occlusal plane. On the lower jaw, these are teeth that
have not reached the occlusal plane, the cutting edges and cusps are below the
occlusal plane.


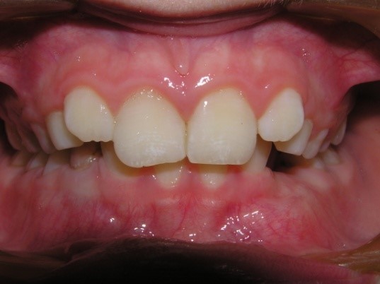
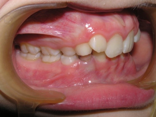
Pic.12. Infraocclusion of the upper front teeth.
Etiology,
pathogenesis:
- heredity;
- harmful habits of biting cheeks,
lips;
- impaired breathing, speech,
closing of lips, which leads to underdevelopment of the
jaws;
- impaired formation of the tooth
root or alveolar process;
- mismatch of the sizes of the teeth
and jaw;
- delayed physiological change of
temporary teeth;
- trauma of teeth, alveolar process,
jaws;
- macrodentia (absolute or
individual);
- presence of supernumerary
tooth(s);
- disturbance of tooth(s)
setting;
- micrognathia of the
jaw;
- absence of an antagonist
tooth;
- premature removal of temporary
molars without preventive measures;
- narrowing and shortening of the
dentition and apical base of varying degrees;
- discrepancy between the width of
the dentition and apical base;
- disturbance of calcium-phosphorus
metabolism;
- vitamin D
deficiency.
Functional disorders:
-
breathing;
-
speech;
-
chewing;
-
impaired lip closure;
-
chronic trauma to the mucous membrane of the lip;
-
dysfunction of the temporomandibular joint;
-
periodontal tissue diseases (localized, generalized).
Aesthetic changes:
-
half-open mouth;
-
visualization of an abnormally located tooth when talking and
smiling;
- deep
supramental fold;
-
everted lower lip with tooth impressions on the mucous
membrane.
Forms of anomaly:
- with space in the dentition;


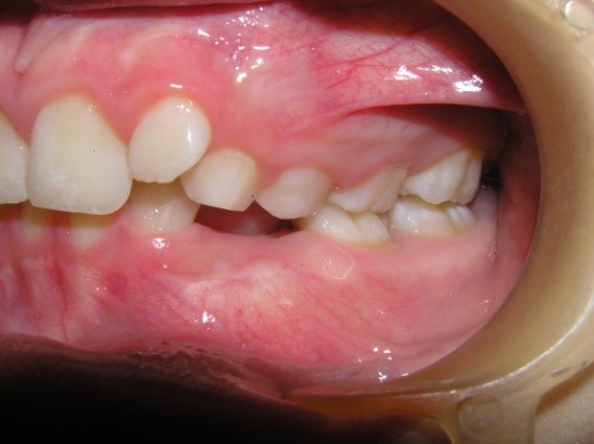
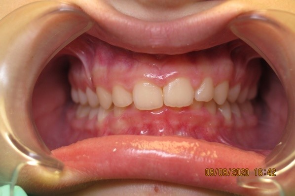
Pic.13. Infraocclusion of the upper front teeth with lack of space.
- with concomitant anomalies of the
dentition and bite;
- with compensated deficiency of
space in the dentition;


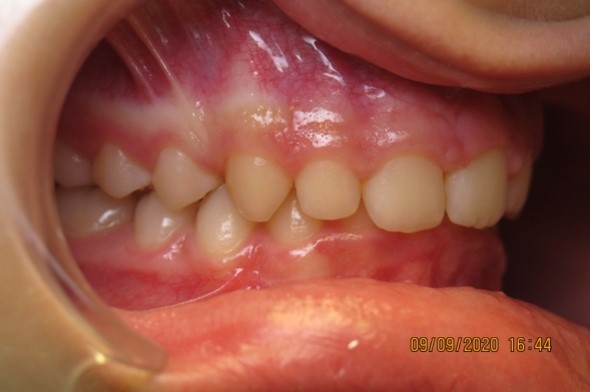
Pic.14. Inocclusion of the upper front teeth.
- with decompensated or complete
deficiency of space in the dentition.
Research
methods:
1.
Clinical.
2.
Paraclinical.
X-ray:
-
orthopantomography;
-
computer tomography.
Biometric:
- dental
examination by methods:
Tonn
Bolton
Pont and
H. Linder, G. Hart
Korkhaus
Snagina
Little
Nance
Schwarz
Fuss
Schmuth
Facial
photometry.
Reopardodontography.
Principles of
treatment:
Preparatory period
-
psychotherapeutic preparation;
-
elimination of the risk factor (if possible);
-
elimination of the etiological factor (if possible);
-
sanitation of the oral cavity;
-
checking the state of oral hygiene, if necessary -
education;
-
prosthetic preparation (according to indications);
-
surgical preparation (according to indications).
Active
period of orthodontic treatment in temporary and mixed
occlusion:
-
functional methods of treatment (myogymnastics, massage,
etc.);
-
appliances treatment method taking into account the clinical manifestation
of the pathology (creation of space in
the dental arch for an abnormally located tooth: expansion of the dentition,
elongation of the dentition, distalization of the teeth,
etc.);
-
normalization of functions (aesthetic, speech, chewing);
-
leveling of the height of the bite (if necessary);
-
surgical treatment methods (serial sequential extraction of teeth according to
Hotz; extraction of individual teeth; removal of supernumerary tooth(s),
etc.);
-
extrusion of teeth (with dentoalveolar shortening);
-
stripping.
Active
period of orthodontic treatment in permanent
occlusion:
- appliances treatment method taking
into account the clinical manifestation of the pathology (creation of space in
the dental arch for an abnormally located tooth: expansion of the dentition,
lengthening of the dentition, distalization of the teeth,
etc.);
- normalization of functions (aesthetic,
speech, chewing).
- surgical treatment methods (extraction of individual teeth;
supernumerary tooth(s), compact osteotomy, insert of orthodontic implants,
etc.).
- stripping;
- prosthetic treatment;
- tooth extrusion (with dentoalveolar
shortening);
- functional treatment methods (myogymnastics,
massage, etc.);
- physiotherapeutic treatment method: vacuum
therapy, low-frequency therapeutic vibration, MRI-magnetic resonance
reflexotherapy, ultraphonophoresis, ultrasound, electrophoresis,
etc.
Retention
period of orthodontic treatment:
- preservation of the achieved result and
prevention of relapse with the help of special equipment - retainers (fixed,
removable);
- functional adaptation to the newly created
occlusion;
- extraction of the rudiments of third
molars (if necessary).